Различные патологии желчного пузыря в настоящее время по своей распространенности занимают третье место в мире после заболеваний сердечно-сосудистой системы и сахарного диабета. Этому способствует неблагополучная экологическая обстановка и неправильное питание. Наиболее часто врачи диагностируют желчнокаменную болезнь (наличие полости пузыря желчных камней) и холецистит (воспаление стенок этого органа). Если раньше такие патологии были характерны для пациентов после 35-40 лет, то, увы, за последние годы такие болезни сильно «помолодели» и встречаются даже у детей и подростков.
Основные сложности в диагностике таких заболеваний связаны с тем, что зачастую на ранней стадии они протекают бессимптомно и долгое время никак не беспокоят пациента. Часто заболевания желчного пузыря обнаруживаются случайно при проведении инструментальной диагностики брюшной полости по совсем другим показаниям. Однако в основном патологии этого внутреннего органа диагностируются на более поздних стадиях своего развития, когда недуг начинает проявлять себя негативными внешними симптомами.
В этой статье мы рассмотрим основные диагностические методы, которые используются при определении заболеваний желчного пузыря, и отдельно остановимся на таком современном методе диагностического обследования, как компьютерная томография (КТ) желчного пузыря.
Основные методы диагностики подобных патологий
Сложность постановки точного диагноза при заболеваниях желчного пузыря связана не только с их бессимптомным течением на ранней стадии развития. Дело еще осложняется тем, что клиническая картина таких болезней часто очень похожа (например, при камнях и при полипах желчного пузыря), и без проведения инструментальной дифференциальной диагностики определить точный диагноз не представляется возможным.
Кроме того, современные методы инструментальных исследований позволяют врачам точно установить не только сам характер патологии, но и стадию её развития, места локализации и состояние окружающих пузырь органов.
Основными симптомами, по которым можно заподозрить развитие болезней именно желчевыводящей системы, являются:
- боли в области правого подреберья, которые могут отдаваться в районе правой лопатки, правого плеча и даже с левой стороны живота; они могут быть различной интенсивности, возникать приступообразно (так называемая желчная колика) или носить постоянный характер;
- горький привкус во рту;
- изжога;
- отрыжка воздухом;
- изменение цвета испражнений (моча темнеет, а кал – светлеет);
- нарушения диспепсического характера (диарея и запоры);
- в запущенных случаях возможно пожелтение кожных покровов и склер глаз.
При обнаружении подобных негативных симптомов необходимо как можно скорее обратиться за медицинской помощью.
Основной методикой обнаружения таких заболеваний является УЗИ – ультразвуковое исследование внутренних органов брюшной полости. Эта диагностическая методика широко распространена и доступна, а её результаты позволяют врачу достаточно полно оценить картину течения патологии, стадию её развития и места локализации.
Для уточнения диагноза также применяется эндоскопическое исследование, при котором установленная на эндоскопе аппаратура доставляется к самому органу и дает более детальную картину течения болезни.
В сложных случаях врач может назначить процедуру МРТ (магнитно-резонансной томографии), которая в случае с желчным пузырем называется магнитно-резонансная холангиография. Эта современная методика дает наиболее детальную картину течения патологического процесса и позволяет оценить состояние, в котором находятся жёлчные протоки.
Стоит сказать, что применение таких методик в дополнение к УЗИ используется не всегда. Они нужны в качестве дополнительных исследований в тех случаях, когда у врача есть определенные сомнения в точности поставленного с помощью УЗИ диагноза или тогда, когда необходимо точно установить места локализации патологии (к примеру, где находятся желчные камни или полипы, есть они в желчевыводящих путях или нет, а также какого они размера и сколько их).
Еще одной современной методикой диагностики заболеваний этого органа является КТ желчного пузыря. Рассмотрим это исследование поподробнее.
Врачи отмечают, что компьютерная томография (КТ) желчного пузыря обладает рядом достоинств. Во-первых, это высокое качество изображений, позволяющее детально оценить состояние органа и выявить возможные патологии, такие как камни или воспалительные процессы. КТ также быстро предоставляет результаты, что особенно важно в экстренных ситуациях. Однако, несмотря на преимущества, существуют и недостатки. Одним из основных является облучение пациента, что может быть нежелательно, особенно для беременных женщин и детей. Кроме того, КТ не всегда может дать полную картину, и в некоторых случаях может потребоваться дополнительная диагностика, например, ультразвуковое исследование. Врачи подчеркивают важность индивидуального подхода к каждому пациенту и необходимость взвешивания всех рисков и преимуществ перед проведением процедуры.

Метод компьютерной томографии – что это такое?
Эта диагностическая методика относится к так называемым лучевым способам исследования организма. Она абсолютно безопасна для здоровья и дает высокоточные результаты.
Главный принцип, на котором базируется эта технология, это использование рентгеновского излучения. Другими словами, аппаратура для компьютерной томографии по своей сути является специально доработанным и значительно улучшенным рентгеновским аппаратом, в который встроены особые компьютерные системы, улучшающие качество получаемых результатов. Кроме того, эти системы дают специалисту возможность автоматической регулировки аппаратуры, и снимки КТ получаются очень информативными, четким и легко читабельными.
Еще одной важной особенностью этого исследования является то, что с его помощью можно получать снимки различных срезов тела пациента в поперечном разрезе, что значительно повышает информативность получаемых результатов.
Подготовка к процедуре КТ
Какая либо специальная подготовка перед проведением этой процедуры не нужна, что повышает комфортность этой методики. Единственное исключение – это если КТ проводится с использованием контрастного вещества. В таом случае подготовка заключается в отказе от еды минимум за четыре (а лучше – за пять) часа до начала проведения исследования.
Кроме того, такое исследование с применением контраста противопоказано пациентам с аллергией на морепродукты и йод, поскольку в состав вводимого пациенту контраста этот элемент как раз и входит.
Перед самой процедурой необходимо снять с себя все имеющиеся украшения (включая пирсинг), поскольку такие предметы могут исказить результаты КТ.
https://youtube.com/watch?v=ABy8Dytfo60
Перед проведением этой диагностической процедуры обязательно должна следовать консультация специалиста-рентгенолога. Врач рассказывает пациенты обо всех нюансах и ходе выполнения исследования, а также объясняет пациенту правила поведения во время проведения КТ.
Компьютерная томография (КТ) желчного пузыря вызывает разные мнения среди пациентов и специалистов. Среди достоинств этого метода диагностики выделяют его высокую точность и возможность получения детализированных изображений, что позволяет выявить камни, воспаления и другие патологии. Многие пациенты отмечают, что КТ помогает быстро и эффективно установить диагноз, что особенно важно в экстренных ситуациях.
Однако существуют и недостатки. Одним из основных является облучение, которое может вызывать опасения у пациентов, особенно у тех, кто проходит обследование регулярно. Кроме того, КТ может быть менее информативной при наличии определенных заболеваний, таких как ожирение, когда качество изображений ухудшается. Некоторые люди также упоминают о высокой стоимости процедуры и необходимости предварительной подготовки, что может быть неудобно. В целом, несмотря на свои недостатки, КТ остается важным инструментом в диагностике заболеваний желчного пузыря.

Показания к применению и методика проведения компьютерной томографии
Продолжительность этого исследования составляет от 20-ти минут до получаса.
Пациент в ходе проведения процедуры находится в лежачем положении. Подвижная часть КТ-аппарата двигается вдоль тела обследуемого (при исследовании желчного пузыря – вдоль области живота) и слегка пощелкивает. Затем полученные данные обрабатываются на компьютере и распечатываются.
Показаниями к применению этого инструментального исследования являются симптомы, характерные для патологий желчевыводящей системы, о которых мы сказали выше. Её результаты позволяют обнаружить следующие заболевания желчного пузыря и его протоков:
- холецистит в острой и хронической форме;
- новообразования добро- и злокачественной природы (например, солидный рак, слизистый рак, плоскоклеточный рак и аденокарцинома);
- дискинезия (нарушение моторики) желчных протоков;
- холангит (воспаление желчевыводящих путей) в острой или хронической форме;
- полипоз (наличие полипов в полости пузыря);
- желчнокаменная болезнь и так далее.
Противопоказания к проведению КТ
Поскольку пациент во время этой процедуры некоторое время находится в небольшом замкнутом пространстве, клаустрофобия является одним из противопоказаний к её проведению. Кроме того, аппаратура рассчитана на определенный вес, и пациенты с ожирением на неё не допускаются. Также противопоказано проведение КТ беременным и кормящим женщинам.
Преимущества и недостатки КТ при обследовании желчного пузыря
Главным достоинством этой инструментальной методики является то, что она дает возможность точно определить характер желтухи и отличить её механический подвид от других.
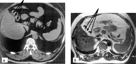
Также КТ позволяет точно определить причину и место закупорки желчных путей. Кроме того, это исследование не только выявляет наличие камней в полости пузыря, но и определяет их вид (холестериновый, пигментный или смешанный камень), а также дает информацию о плотности камней в желчном пузыре и/или его протоках. Осложнения острого холецистита также хорошо видны на результатах этого обследования.
Также к преимуществам КТ специалисты относят:
- комфортность использования;
- возможность применения контрастных веществ.
Недостатками КТ считаются:
- достаточно высокая стоимость процедуры;
- несколько меньшая информативность КТ по сравнению с УЗИ и МРТ;
- наличие пусть и небольшого, но вредного рентгеновского излучения, что ограничивает применение КТ периодичностью один раз в три – четыре месяца;
- КТ нельзя применять на пациентах с лишним весом из-за ограничений аппаратуры в плане размеров больного и выдерживаемого ею веса.
В заключении хочется сказать, что КТ для диагностики патологий желчного пузыря и его протоков вполне применимо и достаточно информативно. Однако и другие диагностические методики исключать нельзя. Как правило, комплексное обследование пациента с применением нескольких инструментальных методов дает наиболее полную картину развития патологии этого органа.
Вопрос-ответ
Можно ли делать КТ желчного пузыря?
Как правило, для диагностики заболеваний желчного пузыря используют УЗИ-диагностику или МРТ, но КТ — очень информативный метод при оценке острого живота. Кроме того, КТ может быть использовано для планового обследования желчного пузыря.
Насколько точна компьютерная томография желчного пузыря?
Компьютерная томография (КТ) позволяет получить полное представление о всей брюшной полости и тазу за один сеанс. При подозрении на острый холецистит КТ выявляет осложнения, которые могут быть незамечены при ультразвуковом исследовании. Четко видна утолщенная, воспаленная стенка желчного пузыря. Перихолецистическая жидкость и жировые отложения вокруг желчного пузыря указывают на воспаление.
Что лучше для желчного пузыря КТ или МРТ?
На сегодняшний день МРТ желчного пузыря считается самым точным методом диагностики онкологических заболеваний. Шаг сканирования томографа составляет всего 2-1 мм и позволяет обнаружить новообразования даже самого малого размера на стадии зарождения.
Советы
СОВЕТ №1
Перед проведением КТ желчного пузыря обязательно обсудите с врачом все возможные риски и преимущества данного метода исследования. Это поможет вам лучше понять, подходит ли вам данная процедура и какие результаты можно ожидать.
СОВЕТ №2
Если у вас есть аллергия на контрастные вещества, обязательно сообщите об этом врачу перед процедурой. Это поможет избежать нежелательных реакций и обеспечит вашу безопасность во время исследования.
СОВЕТ №3
После КТ желчного пузыря внимательно следите за своим состоянием. Если вы заметите какие-либо необычные симптомы, такие как сильная боль или аллергическая реакция, немедленно обратитесь к врачу для получения консультации.
СОВЕТ №4
Не забывайте, что КТ является лишь одним из методов диагностики. Рассмотрите возможность комбинирования его с другими исследованиями, такими как УЗИ или МРТ, для более полной картины состояния вашего желчного пузыря.




