Появление дискомфорта в области правого подреберья, как правило, связано с проблемами такого внутреннего органа, как желчный пузырь. Как правило, в таких случаях врач назначает УЗИ. Если результаты этого исследования выявят, что стенки желчного пузыря уплотнены больше нормы – необходимо разобраться, с чем это связано, поскольку после операции по удалению этого органа выяснять будет уже нечего.
Нормой считается, если стенка желчного пузыря 4 мм (возможны варианты от трех до пяти миллиметров). Если этот показатель значительно больше – это может служить сигналом о развитии какой-либо патологии. Лучше выяснить причину заранее, чем после удаления желчного пузыря.
К основным симптомам, которые указывают на то, что стенки этого органа начали утолщаться, относятся:
- редкие боли небольшой интенсивности, возникающие в области правого подреберья, иногда иррадирующие в правую лопатку или поясницу;
- возникновение тошноты;
- в редких случаях возможно появление рвоты;
- температура тела повышается;
- появляется озноб;
- кожные покровы и глазные склеры приобретают желтоватый оттенок (так называемая ложная желтуха).
Такая клиническая картина говорит о проблемах, возникших в желчном пузыре, которые способны спровоцировать уплотнение стенок желчного пузыря.
При появлении любого из перечисленных выше симптомов необходимо как можно скорее обратиться за медицинской помощью. Если своевременно не поставить точный диагноз и не начать лечение – развитие патологии может привести к весьма серьезным последствиям (вплоть до хирургического удаления этого внутреннего органа).
Причины подобной патологии
Основными заболеваниями желчного пузыря, вследствие развития которых его стенки становятся уплотненными, являются:
- холецистит (хроническая форма). Представляет собой воспаление стенок желчного пузыря, хроническое течение которого чередуется с обострениями. При хроническом холецистите некоторые участи стенок этого органа сначала воспаляются, а затем, когда наступает ремиссия и очаги воспаления начинают заживать – стенки органа постепенно утолщаются. 4-х миллиметровая стенка (плюс/минус миллиметр) считается нормой, и любое значительное превышение этого параметра свидетельствует о наличии патологии;
- острая форма холецистита. Как правило, такое воспаление провоцируют различные болезнетворные микроорганизмы или паразиты, проникающие в организм с пищей. Острое течение болезни вызывает отек пораженных участков стенок желчного пузыря, что вызывает их утолщение (уплотнение). Толщина стенки в этом случае увеличивается;
- холестероз. Суть этой патологии заключается в скоплении на стенках органа избыточного вредного холестерина (билиарный сладж), что, в свою очередь, вызывает нарушение его моторики и сократительной функции. Активность желчного пузыря снижается, и его стенки начинают уплотняться без должной нагрузки;
- желчнокаменная болезнь. Камни в желчном пузыре являются причиной раздражения и воспаления его стенок, и в ходе этого патологического процесса происходит утолщение стенок желчного пузыря;
- водянка этого внутреннего органа. Переизбыток в пузыре серозной жидкости также способен спровоцировать уплотнение его стенок сверх нормы;
- опухоли доброкачественной и злокачественной природы. Несмотря на то, что такие патологии в желчном пузыре встречаются довольно редко, иногда именно такие новообразования вызывают изменение структуры стенок этого органа. Норма толщины в 4 мм может быть значительно превышена, и стенка может сильно уплотниться.
Врачи отмечают, что утолщение стенок желчного пузыря может быть связано с различными факторами. Одной из основных причин является хронический холецистит, воспаление, вызванное инфекцией или камнями в желчном пузыре. Это состояние приводит к изменению структуры стенок органа и их утолщению. Также специалисты указывают на возможность развития полипов или опухолей, которые могут вызывать аналогичные изменения. Кроме того, врачи подчеркивают, что нарушения в обмене веществ, такие как диабет или ожирение, могут способствовать утолщению стенок. Важно отметить, что своевременная диагностика и лечение этих состояний могут предотвратить серьезные осложнения и улучшить качество жизни пациентов.

Методы диагностики данной патологии
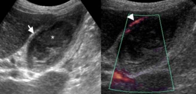
Главным способом постановки такого диагноза является ультразвуковое исследование брюшной полости (УЗИ).
Результаты этого инструментального обследования дают возможность специалисту-гастроэнтерологу поставить точный диагноз, определить форму и степень развития болезни.
Если возникнет такая необходимость, врач может назначить УЗИ в комплексе с желчегонным завтраком или прибегнуть к методу рентгенографии. Для уточнения диагноза назначаются анализы для лабораторных исследований (кровь, моча и кал).
Методы лечения
Способ назначаемой терапии напрямую зависит от конкретного диагноза, поставленного врачом на основании данных проведенных исследований.
Как правило, в комплекс консервативного лечения патологий желчного пузыря входят:
- медикаментозная терапия (в комплексе со средствами народной медицины);
- соблюдение специальной диеты;
- лечение в санатории;
- лечебная гимнастика;
- физиотерапия.
Если консервативное лечение не дает желаемого результата – назначается холецистэктомия (операция по удалению желчного пузыря). После операции необходима строгая диета.
Утолщение стенок желчного пузыря — это состояние, которое вызывает множество обсуждений среди пациентов и врачей. Многие люди связывают эту проблему с неправильным питанием и малоподвижным образом жизни. Часто упоминаются такие факторы, как ожирение, злоупотребление жирной пищей и хронические заболевания печени. Некоторые пациенты отмечают, что у них наблюдаются боли в правом подреберье и дискомфорт после еды, что заставляет их обращаться к специалистам. Врачебные комментарии часто акцентируют внимание на необходимости регулярных обследований, так как утолщение может быть признаком более серьезных заболеваний, таких как холецистит или даже рак. Люди также делятся опытом лечения и рекомендациями по изменению образа жизни, включая диету и физическую активность, что, по их мнению, помогает улучшить состояние.

Диета №5
Такая диета, называемая «Лечебный стол №5», является неотъемлемым элементом успешной терапии при любых патологиях этого внутреннего органа. Её соблюдение является обязательным. В противном случае вся остальная терапия окажется бесполезной тратой денег и времени.
Основной принцип этой диеты – дробное питание, подразумевающее прием пищи небольшими порциями через равные промежутки времени по пять – семь раз в день. Готовить блюда при таком питании можно только на пару, методом варки или запекания. О жирных, жареных, острых, пряных и копченых блюдах придется забыть. Также под запрет попадают алкогольные и газированные напитки, сладости и сдобные мучные изделия, кое и крепкий чай.
Разрешенные к употреблению в пищу этой диетой продукты:
| № | Полезная информация |
|---|---|
| 1 | некрепкий чай |
| 2 | нежирный творог |
| 3 | молоко (при отсутствии индивидуальной непереносимости) |
| 4 | кисломолочные продукты пониженной жирности |
| 5 | компоты из сухофруктов |
| 6 | отвары, кисели, желе и муссы на основе сладких ягод и фруктов |

- одно куриное яйцо в неделю;
- нежирное мясо (телятина, курятина, крольчатина, мясо индейки);
- нежирные виды морской и речной рыбы;
- вчерашний белый хлеб либо сухарики на его основе;
- овощи (как в виде супов и пюре, так и свежие);
- каши на основе гречневой, овсяной и манной крупы;
- макаронные изделия;
- нежирный и не острый твердый сыр;
- растительные масла (льняное, подсолнечное и оливковое);
- сливочное масло (в очень ограниченном количестве).
Вся пища должна быть теплой, ни в коем случае – не холодной и не горячей.
Такая же диета показана после операции по удалению желчного пузыря.
Народная медицина при болезнях желчного пузыря
Лечить такие патологии также можно и натуральными препаратами. Народные средства часто применяются при такого рода патологиях в качестве вспомогательного лечения, однако их тоже дожжен сначала одобрить лечащий врач. Как правило, эти средства представляют собой различные настои и отвары из трав и травяных сборов.
К примеру, салат из одуванчика не только положительно воздействует на желчный пузырь и его протоки, но и способен разнообразить меню пациента. Для его приготовления необходимо взять две пригоршни листьев одуванчика и залить их на четверть часа соленой водой. Затем листья необходимо размельчить и перемешать с одним крутым яйцом. Лучше всего это блюдо употреблять с утра или вечером.
Чистотел также является хорошим средством (например, с его помощью можно вывести полипы, образовавшиеся в желчном пузыре). Две столовые ложки сухого измельченного чистотела заливаем одним стаканом кипятка и закрываем в термосе на два часа. Затем настой процеживается и употребляется за 20 минут до каждого приема пищи по две столовые ложки.
При желчнокаменной болезни помогает свекольный отвар. Для его приготовления корнеплоды очищают от кожуры и нарезают. Затем заливают их холодной водой, уровень которой должен превосходить уровень овощей на два пальца. Затем варим на медленном огне до тех пор, пока продукт не приобретет густую консистенцию сиропа. Процеживаем, переливаем в стеклянную емкость и ставим в холодное место. Схема приема: три раза в день перед едой по 50 грамм средства. Курс лечения рассчитан на срок от двух до трех месяцев. Готовый отвар можно хранить в холодильнике не более суток.
Какое бы лечение вам не понадобилось – назначить его может только врач. Самолечение может лишь усугубить образовавшуюся патологию и привести к потере этого важного внутреннего органа, а после операции ограничения будут весьма существенными. Будьте здоровы!
Вопрос-ответ
Почему может быть утолщена стенка желчного пузыря?
Провоцируют и активизируют инфекционные процессы: застой желчи, дискинезия желчевыводящих путей, инвазия паразитами, ожирение, неполноценное питание, нервное истощение, гиподинамия. При этом типе заболевания происходит утолщение стенок и деформация желчного пузыря, что опасно образованием спаек с соседними органами.
Что может вызывать утолщение стенки желчного пузыря?
Системные заболевания, такие как дисфункция печени, сердечная недостаточность или почечная недостаточность, могут привести к диффузному утолщению желчного пузыря.
Что значит уплотнение стенок желчного пузыря?
Отечность стенки желчных протоков уплотняются вследствие катарального воспаления. При этом возникает переполненность кровеносных сосудов, отекает слизистая оболочка протока, на стенках скапливаются лейкоциты, эпителий отслаивается. Часто такое заболевание переходит в хроническую форму.
Как лечить утолщение стенок желчного пузыря естественными методами?
В большинстве случаев очищение желчного пузыря включает в себя употребление в пищу или питье смеси оливкового масла, трав и какого-либо фруктового сока в течение нескольких часов. Сторонники утверждают, что очищение желчного пузыря помогает разрушать желчные камни и стимулирует желчный пузырь к их выведению с калом.
Советы
СОВЕТ №1
Регулярно проходите медицинские обследования, особенно если у вас есть предрасположенность к заболеваниям желчного пузыря. УЗИ и анализы помогут выявить изменения на ранних стадиях.
СОВЕТ №2
Обратите внимание на свое питание. Употребление большого количества жирной и жареной пищи может негативно сказаться на состоянии желчного пузыря. Старайтесь включать в рацион больше овощей, фруктов и клетчатки.
СОВЕТ №3
Следите за уровнем стресса и старайтесь избегать эмоциональных перегрузок. Стресс может способствовать развитию различных заболеваний, в том числе и желчного пузыря. Практикуйте методы релаксации, такие как йога или медитация.
СОВЕТ №4
Поддерживайте нормальный уровень физической активности. Регулярные физические нагрузки способствуют улучшению обмена веществ и могут помочь предотвратить заболевания желчного пузыря.




